
What Is a Crown?
A ceramic restoration, shaped by the design—not the name.
A crown is a full-coverage ceramic unit used to restore a tooth when more support or structure is needed. But in reality, the term “crown” is just one point on a spectrum. Whether it's a crown, veneer, onlay, or veneerlay—they’re all ceramic restorations, crafted to match the final design and adapted to the condition of the tooth underneath. The name depends on how much tooth is covered, but the principle is the same: the right material, in the right shape, guided by a unified plan.

1. Tooth Preparation
Minimal, precise, and adapted to design.
We begin by preparing the tooth surface, removing as little as possible. The goal isn’t just to create space—it’s to follow the design. Whether we’re restoring a single tooth or part of a larger case, every step is planned in relation to the final esthetic and functional goal.

2. Digital Design and Material Selection
More than a scan—it’s a blueprint.
The design doesn’t begin after preparation—it leads it. Before touching the tooth, we work with digital scans and facial references to plan the ideal shape, volume, and position of the restoration. This previsualization guides both preparation and material choice. Once the design is validated, we prepare the tooth accordingly and finalize the restoration based on location, function, and esthetic needs.

3. Laboratory Fabrication and Final Fitting
From scan to structure—in the same space.
All crowns are crafted in our in-house lab, Metalab, ensuring full control from start to finish. Once the crown is ready, we test it for fit, comfort, and visual integration before final cementation. Small adjustments can be made in real time to ensure the result matches the vision.
Restorations with Purpose and Precision
Built around the tooth. Guided by the smile.
At Dentcof, ceramic restorations are never treated as isolated procedures. Each one is part of a broader restorative concept—considering soft tissue behavior, bite forces, neighboring teeth, and long-term esthetics. Every crown completes more than just a tooth. It completes a plan.

Designing with Identity in Mind
I’mperfect is not a slogan—it’s a design philosophy.
We don’t chase symmetry or reinvent smiles. We start with real tooth shapes—natural, character-rich forms selected from a biometric library—and carry them through the entire process. Monolithic restorations allow us to preserve that identity across every stage, without distortion or reinterpretation. What we design is what we deliver: consistent, intentional, and true to the smile’s individuality.

Designed and Crafted In-House
One team. One integrated workflow. Full control.
All restorations are produced in our own in-house lab, Metalab. This direct connection between clinic and lab allows for faster turnaround, clear communication, and real-time adjustments. We maintain full control over every stage—from shape selection to final finishing—to ensure consistency with the original design.

Esthetics That Endures
Natural integration—on day one and over time.
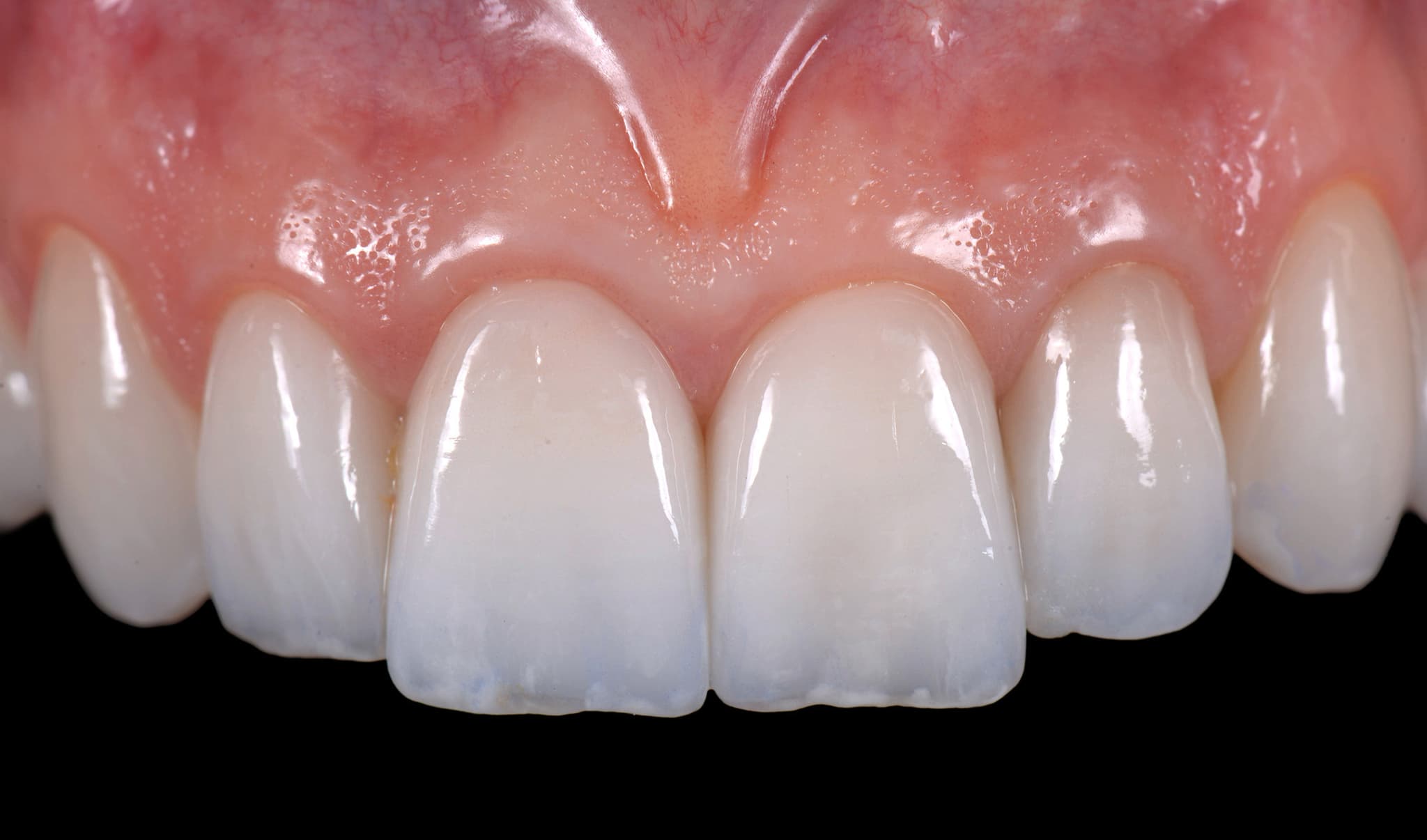
Our crowns are built to do more than look good on day one. They’re engineered to integrate with the soft tissue, age naturally, and perform reliably for years. We test every margin, emergence profile, and contact point to ensure the restoration isn’t just beautiful—it’s biologically sound.

Designed for Any Scenario
Digital design means long-term flexibility.
Every monolithic restoration we deliver is backed by a saved digital blueprint. If a crown ever needs to be remade—whether due to wear, fracture, or future treatment—you may need a new scan, but not a new design. The original shape, proportions, and fit are preserved, allowing the restoration to be reproduced with precision—even years later.
Crowns – Frequently Asked Questions
What is the difference between a crown and a veneer?
A crown covers the entire tooth, while a veneer covers only the front surface. The choice depends on how much structure needs to be restored. At Dentcof, we select the type of ceramic restoration based on the tooth’s condition and the overall design—not just the label.
How long does a crown last?
With proper care and maintenance, a crown can last 10–20 years or longer. Longevity depends on material selection, bite forces, hygiene, and the quality of the initial design and fit.
Will my crown look natural?
Yes. All our crowns are customized to match your tooth shape, color, and smile dynamics. We use facially guided design and in-house craftsmanship to ensure the final result is seamless and lifelike.
Is getting a crown painful?
The procedure is done under local anesthesia and is typically very well tolerated. Most patients report minimal discomfort and return to normal function quickly.
What materials do you use for crowns?
We use a range of high-performance ceramics including zirconia, leucite ceramics, and hybrid materials. The choice depends on the location of the crown, esthetic demands, and functional needs.
Can I get a crown if I’ve had root canal treatment?
Yes. In fact, a crown is often recommended after a root canal to protect the weakened tooth and restore full function.
How much does a dental crown cost?
Cost varies depending on the complexity of the case, the material used, and whether the crown is part of a larger treatment plan. We provide a personalized treatment plan after full clinical assessment—not a generic estimate.