
Bite Correction at Dentcof
Function meets design. Precision meets personalization.
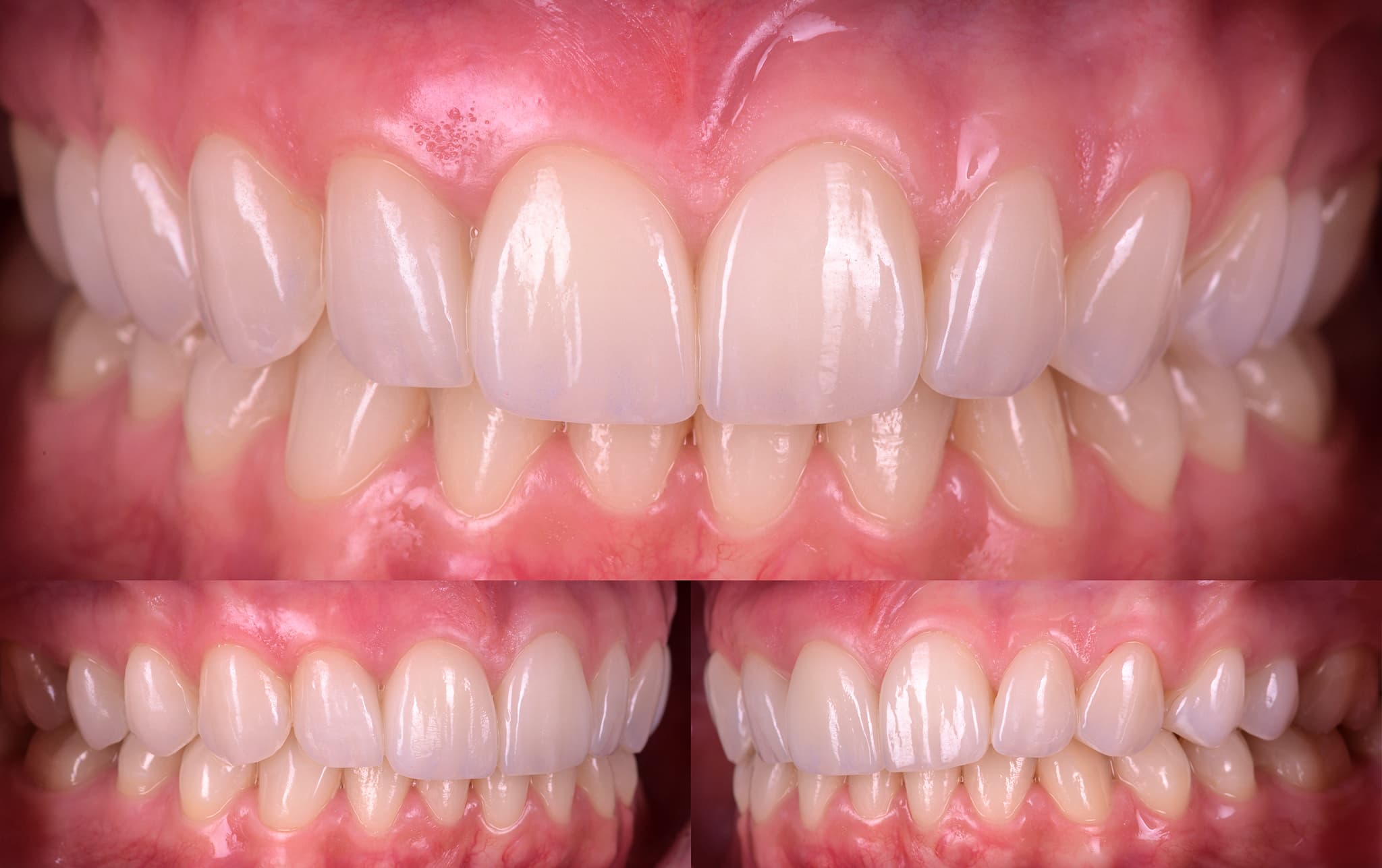
Bite correction isn’t a standalone treatment—it’s the foundation behind every restoration that changes how your teeth meet. At Dentcof, functional rehabilitation is woven into every full-mouth treatment plan. Whether it's implants, veneers, or orthodontics, the bite must support the result—not compromise it.
1. Functional Diagnosis
We assess movement, not just contact.
Before any irreversible step, we analyze your bite in detail—both static and dynamic. Using 3D scans, facial analysis, and digital bite registration, we evaluate tooth wear, jaw position, and occlusal balance. It’s not just about what touches where—it’s about how everything moves together.

2. Splint Therapy and Mock-Up Testing
Trial before treatment.
We design a diagnostic splint tailored to your bite. Worn over weeks, this splint lets us confirm functional and postural corrections in real-life conditions. It also helps us understand muscular responses and stability before any tooth is touched. It’s a reversible way to validate a permanent plan.

3. Provisional Prototyping
A test-drive in ceramic.
Before delivering the final restorations, we create provisional ones that mimic the planned shape, size, and bite. These prototypes allow both patient and doctor to assess esthetics, phonetics, and comfort. Minor adjustments can still be made, ensuring the final result is functionally sound and personally tailored.
4. Final Restorations and Maintenance Splint
Long-term stability, built in.
Final restorations are designed and milled based on the validated prototype. After placement, a protective night splint is often recommended to maintain muscular balance and prevent parafunctional wear. All files are digitally archived, allowing reproduction if needed—without restarting the design.
A Functional Take on I’mperfect
Not every difference is a problem.
At Dentcof, we distinguish between pathology and anatomical variation. We don’t treat a unique jawline or bite as a defect—we treat what truly compromises comfort, health, or longevity. Functional design means avoiding overtreatment while maximizing precision, adaptation, and individual comfort.
4D Design with Motion
We plan in movement, not still frames.
Using digital jaw tracking and facial dynamics, we capture how your bite behaves over time—not just in one moment. This dynamic analysis ensures restorations integrate naturally with your muscle patterns and chewing function.
Less Invasive, More Predictable
Layered planning. Singular execution.
Bite correction is never isolated from other treatments. When planned alongside orthodontics, implants, or prosthetics, we reduce treatment time and improve outcomes. At Dentcof, we go one step further—combining full-head CBCT, digital segmentation, and jaw motion tracking to understand how teeth and joints behave in real time. This helps us treat precisely, avoid unnecessary procedures, and ensure lasting comfort.
Interdisciplinary Harmony
More than alignment—it’s integration.
We move teeth to reduce prosthetic invasiveness, align gingival margins for better esthetics, and plan implant positioning with both function and anchorage in mind. But beyond mechanics, we also coordinate with physiotherapy when muscle adaptation or joint recovery is needed. Every element—bone, tissue, teeth, and movement—is managed as part of one functional system.
You See the Outcome Before We Begin
Preview the result. Understand the purpose.
We simulate functional and esthetic outcomes digitally—before any intervention. Patients can visualize how the bite will improve their comfort, esthetics, and long-term dental health.
Bite Correction – Frequently Asked Questions
What is bite correction?
Bite correction involves diagnosing and adjusting how your teeth meet and function, ensuring stability, comfort, and esthetic harmony in the long term. It’s part of every full-mouth treatment at Dentcof.
How do I know if I need bite correction?
If you experience wear, TMJ symptoms, broken restorations, or muscle discomfort—or are undergoing complex restorations—you likely need a bite evaluation.
Does bite correction hurt?
Most steps are non-invasive. Splint therapy is reversible, and adjustments are made in stages with patient feedback.
Do I always need crowns or veneers to correct my bite?
Not always. In some cases, orthodontics or splint therapy alone can improve bite function. A full assessment determines the least invasive solution.
How long does the process take?
It varies based on case complexity. Splint therapy may last weeks to months; provisional testing follows; final restorations are placed once everything is validated.
Is the outcome permanent?
With proper follow-up and protection (e.g., night splints), outcomes are stable. Our digital archives also allow for restoration reproduction if needed in the future.