
Soft Tissue Grafting at Dentcof
Gum health meets esthetics. Precision meets preservation.
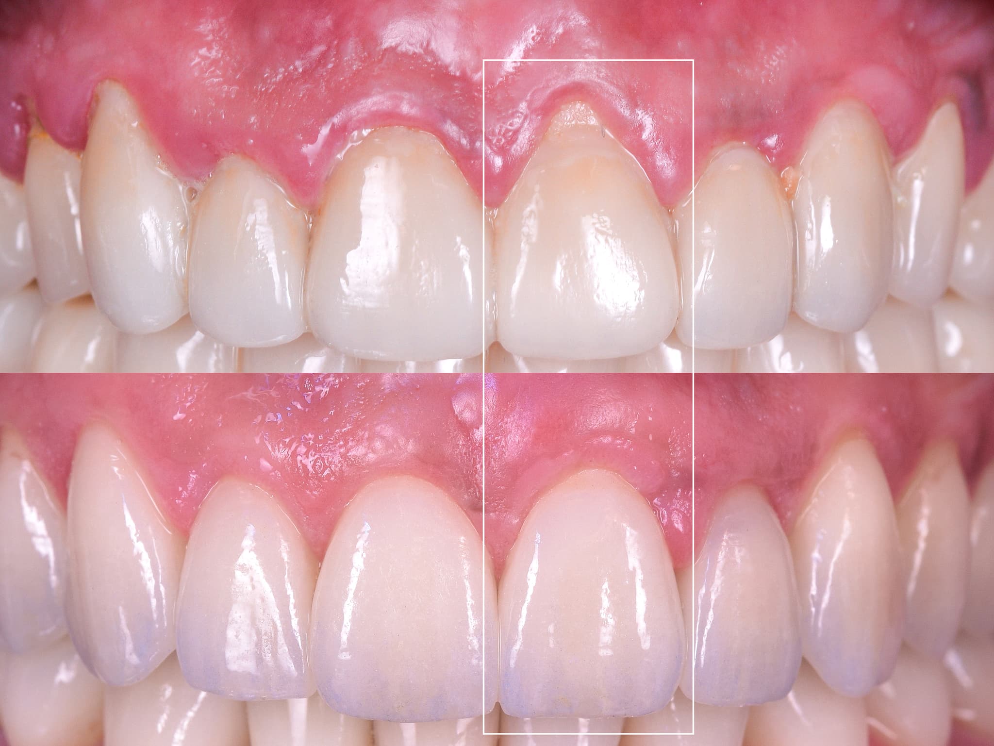
Soft tissue grafting is not just about covering roots or thickening gums. At Dentcof, it’s a tailored intervention designed to stabilize tissue, improve esthetics, and support long-term restorative outcomes. Every graft is integrated into a wider plan, guided by facial references and prosthetic goals.

1. Digital Diagnosis and Treatment Planning
Design-driven from the start.
We start with complete digital records—photos, 3D scans, and intraoral imaging. From these, we assess volume loss, tissue quality, and smile dynamics. The grafting strategy is coordinated with any prosthetic, orthodontic, or surgical steps to ensure it supports the overall vision of the case.

2. Minimally Invasive Surgical Technique
Precise placement with minimal trauma.
Using microsurgical instruments and magnification, we place connective tissue grafts or other biomaterials in targeted areas. Whenever possible, we use tunneling or flapless techniques to reduce trauma, speed up healing, and ensure better vascularization. The result is a more stable, resilient, and esthetically integrated soft tissue profile.

3. Guided by Prosthetic Design
Healing shaped by the final outcome.
We don’t graft blindly. The shape, volume, and location of the graft are guided by the final prosthetic design. Whether it’s to support veneers, crowns, or implants, the graft acts as a biological and visual foundation—shaped to match the desired emergence profile and gum contour.
I’mperfect Philosophy in Practice
Natural esthetics through biologic support.
We believe that beauty comes from harmony, not perfection. Soft tissue grafts help preserve that harmony by maintaining gum contours, supporting papillae, and preventing black triangles or recessions. It’s one more tool in our philosophy of esthetics that fit the individual—not a template.
Seamless Integration with Other Treatments
Planned together, not added later.
Soft tissue grafting is often coordinated with crown lengthening, implant placement, or orthodontics. When planned as part of a unified strategy, it enhances both biological health and esthetic harmony. This integrated planning leads to fewer surgeries and more predictable results.

In-House Expertise and Materials
Control, consistency, and clinical precision.
All soft tissue grafting at Dentcof is performed by experienced clinicians using trusted materials and advanced surgical protocols. With full access to digital diagnostics, lab support, and interdisciplinary input, we ensure grafts are placed in the right context, not just the right spot.

Long-Term Health and Stability
Esthetics that age well.
Soft tissue health plays a crucial role in the long-term success of any restoration. Grafting improves tissue thickness, reduces the risk of recession, and contributes to a more stable, natural-looking smile over time.
You See the Result Before We Begin
Visualize the change. Understand the benefit.
Whenever applicable, we simulate the post-graft esthetic outcome using digital tools. This helps patients understand not just the clinical benefit, but also how the procedure enhances their final result.
Soft Tissue Grafting – Frequently Asked Questions
What is soft tissue grafting?
Soft tissue grafting involves adding tissue to areas with gum recession or volume loss to improve esthetics, protect the roots, and stabilize the gum line. It is often used in conjunction with other treatments like implants or veneers.
Is the procedure painful?
It is typically done under local anesthesia and is well tolerated. We use minimally invasive techniques and provide post-op care instructions to reduce discomfort and speed up recovery.
Where does the graft tissue come from?
Grafts may be taken from the patient’s own tissue (usually the palate) or sourced from processed, biocompatible materials, depending on the case and preference.
How long is the healing period?
Initial healing takes 1–2 weeks, but full integration and maturation of the tissue may take several months. Most patients return to normal activities within a few days.
When is soft tissue grafting recommended?
Grafting is recommended when there is gum recession, thin tissue that risks further loss, or when tissue support is needed for implants or esthetic restorations.
How much does it cost?
Cost depends on the number of sites, grafting technique, and materials used. A complete treatment plan is provided after a full diagnostic assessment.